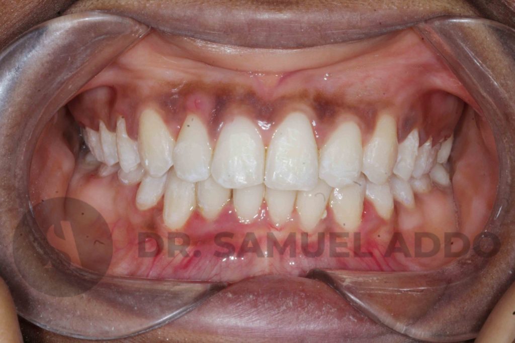
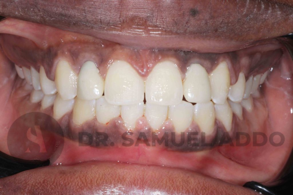
Crowding occurs when there is insufficient space in the jaw for all teeth to fit properly. It can lead to crooked or rotated teeth.
Before
After
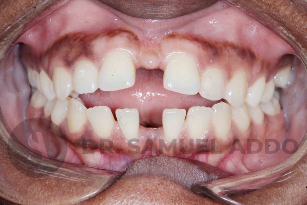
SPACING
(the opposite of crowding), is an excess of space for your teeth which results in gaps between your teeth. This occurs when the teeth are smaller than the available space.
Before
After
UNDERBITE
An underbite occurs when the lower front teeth protrude beyond the upper front teeth, resulting in a reverse bite. It can affect the appearance and function of the jaws and teeth.
Before
After
CROSSBITE
A crossbite is characterized by the misalignment of the upper and lower teeth, where some teeth are positioned inside the opposite arch. It can occur in the front or back teeth, leading to bite problems.
Before
After
OPEN BITE
An open bite is when there is a space or gap between the upper and lower front teeth when the back teeth are in contact. It can be caused by thumb sucking, tongue thrusting or skeletal issues.
Before
After
DEEP BITE
A deep bite occurs when the upper front teeth excessively cover the lower front teeth vertically, causing the lower teeth to bite into the roof of the mouth. It can lead to jaw joint problems, wear on the teeth, and aesthetic concerns.
Before
After
HYPODONTIA
Hypodontia is a developmental abnormality wherein one or more permanent teeth fail to grow. It is one of the most common dental anomalies and can have a negative impact on function, and also appearance.
Before
After
IMPACTED TEETH
“Impacted” means that a tooth either has not come in (“erupted”) when expected or a tooth that cannot erupt because it does not have room or may be coming in the wrong direction or position.
Before
After
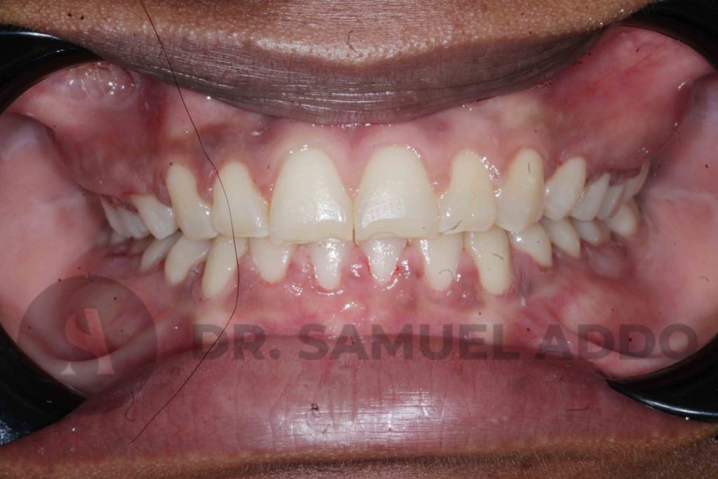
GUM DISEASE
Gum disease causes the jawbone to weaken, allowing teeth to loosen and move.